global health
As the global effort to share vaccines enters high gear, it will still be years before billions of people can get the shot — threatening more deaths and a longer journey to normalcy.
The philanthropists, who have donated $1.75 billion to coronavirus research, argued that global health needs to be a top priority.
The president stopped funding United Nations health care for women and Palestinian refugees and cut aid to medical organizations over abortion.
As health experts and lawmakers warn of the threat of emerging diseases and crises, Trump seeks massive funding cuts.
WHAT'S HAPPENING
WHAT'S HAPPENING
More than 1,600 people have died since August in what is the second-deadliest Ebola outbreak in history.
People are dying worldwide because they lack something most in developed countries take completely for granted.
Patient numbers are rising as health responders struggle to fight Ebola in a Democratic Republic of Congo war zone.
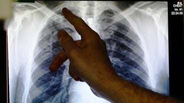
Tuberculosis Became The Fifth Health Issue To Get A High-Level UN Meeting. It Didn’t Go Very Well.
The world's top infectious killer finally got a spot on the world's stage, but experts say more political will and accountability are needed to make a dent in fighting the disease.
The world is under threat from the growing risks of potentially pandemic diseases.
It’s going to take an estimated $26 million to quell the outbreak, and the U.S. has raised its contribution from $1 million to $8 million.





















