
“The night I ended up in the hospital, I counted to 43. Forty-three tiles. When I didn’t keep quiet, and instead responded to his insults, he grabbed me by my hair and slammed me against the kitchen wall. Then I counted the tiles, just to avoid thinking about the pain; otherwise, I would have died. And the less I screamed, the more he lashed out.”
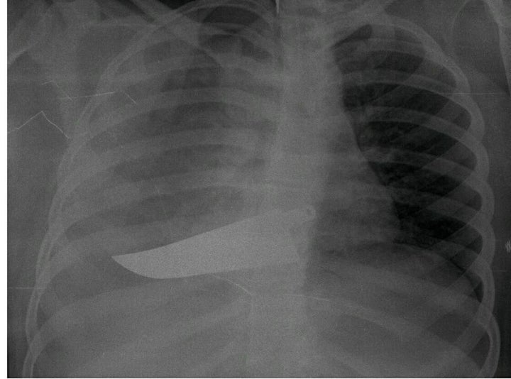
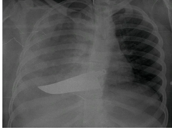
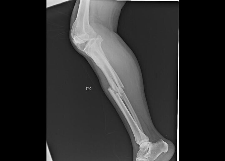
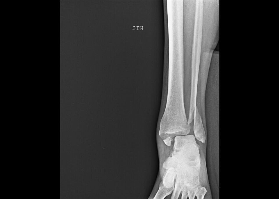
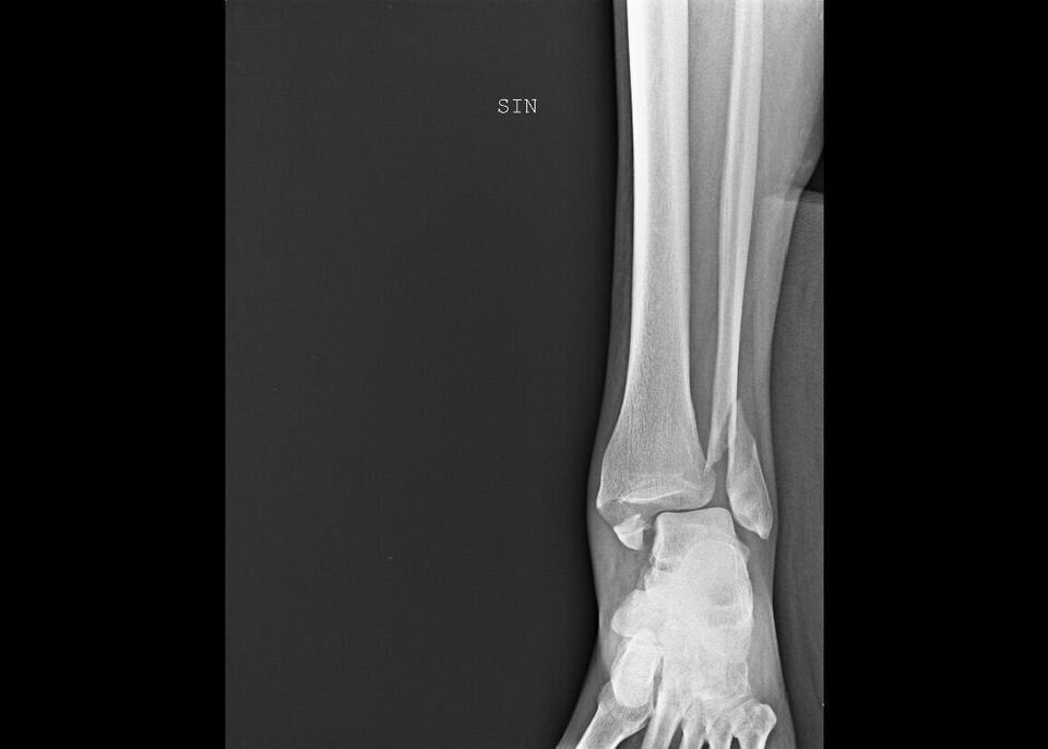
This isn’t the beginning of a novel, but the true story of a woman featured in “Invisibility Is Not A Superpower,” an exhibition that was set up in the atrium of the San Carlo Hospital in Milan, Italy, from Nov. 21 to Dec. 8. Through anonymous photographs and X-rays, the exhibition recounts the tragedy of women arriving at the emergency room and reporting that they have been victims of domestic violence.
The exhibition, organized by one of Milan’s biggest hospitals and a nonprofit focused on women and families, uses the power of images to tell the story of a silent, hidden epidemic, one whose victims often remain in the shadows.
“In this exhibition, a voice is given to the bodies and injuries of women who have suffered violence, weaving individual stories into a single narrative,” said photographer Marzia Bianchi. “The lives of the women differ, yet the pattern of violence is repeated, mainly at the hands of a partner, relative or acquaintance.”

The photos shed light on an issue that often “remains behind closed doors,” Simona Lanzoni, vice-president of the Pangea Foundation, which supports women against abuse and discrimination, told HuffPost Italy.
“Invisibility is the victim’s great tragedy,” Lanzoni said. “We need to report it, but we also need to share it: Women need to find the strength to tell their stories to avoid being alone. This is why creating a network is so important. Many arrive at the emergency room when it is already too late.”
“The emergency room provides an immediate response to the result of a long-term problem,” she added. This exhibition “aims to transform this very silence, which has enveloped certain stories for who knows how long, into imagery.”
But Lanzoni said the secrecy can be broken.
“The shame, fear and guilt of the victims are three enemies in the battle against gender violence,” she said. “Sometimes women are also financially dependent, which makes it even more complicated to get out of family dynamics and violent relationships. The lack of financial independence can lead to blackmail, a further form of subtle, creeping abuse.”

The exhibition is also an opportunity to promote the work of REAMA, a year-old enterprise Lanzoni coordinates that offers help for those facing domestic violence by calling on a network of organizations that offer resources.
“For over 20 years, Pangea has been working alongside women in economic and social empowerment projects, in Italy and around the world,” Lanzoni explained. “With REAMA, we wanted to take one more step forward, creating a circuit of people and professionals capable of supporting victims of violence. We also seek the effective application of the Istanbul Convention, which, to date, represents the most effective tool for preventing and combating violence against women.”
The Istanbul Convention, created by the Council of Europe, seeks to prevent and combat violence against women, including domestic violence, using comprehensive standards. It opened for signatures in May 2011, and it has since been signed by 45 countries.
The exhibition, which was unveiled on the International Day for the Elimination of Violence Against Women, came to life thanks to the Women’s Help and Rescue Centre of San Carlo Hospital, lead surgeon Dr. Maria Grazia Vantadori, and Bianchi, who is also a Pangea-REAMA collaborator.
Perhaps as the veil of silence is lifted, the pattern can finally change.





Need help? In the U.S., call 1-800-799-SAFE (7233) for the National Domestic Violence Hotline.